Quantos exames de Ultrassom preciso fazer durante a Gravidez?
- Dr. Marcos Consonni
- 18 de mai. de 2017
- 2 min de leitura
É muito comum a pergunta: "Qual o próximo exame de ultrassom que devemos fazer em nosso bebê?"
Este assunto é realmente importante! Por um lado, pode-se perder a chance de fazer o exame em momentos estratégicos, como aquele utilizado para se calcular a idade da gestação com maior precisão possível, e por outro, o excesso de exames que não ajudam em nada e ainda podem trazer efeitos indesejáveis. Geralmente os exames de ultrassom ocorrem à critério do seu médico, contudo, é muito bom os pais terem o conhecimento mais fundamental, ou seja, dos principais períodos a serem realizados tais exames, para garantir informações importantes e sem excessos.

PRIMEIRO ULTRASSOM: Assim que se confirma a gestação pela falha da menstruação e testes de farmácia, a primeira vontade é a de se "ver as coisas como estão lá dentro". Isso faz sentido, tendo em vista a possibilidade delas não estarem mesmo cem por cento, tal como ocorre quando o embrião não se forma ou a gestação acontece fora do lugar onde deveria estar. Ainda bem, estas são situações pouco frequentes, contudo, realizar este ultrassom inicial, além de afastar a dúvida sobre elas, também ajuda a planejar com melhor precisão o "segundo exame".

SEGUNDO ULTRASSOM (entre 11 e 14 semanas): Neste período, além de se calcular com bastante precisão a idade da gestação (algo que não vai mudar até o final dela), já é possível afastar diversas alterações que podem ocorrer na "formação" ou, melhor, na morfologia do bebê. Também é só nesta fase que se avalia a "translucência nucal" que, como o próprio nome diz, é uma medida tomada na região da nuca e trás informações relacionadas ao risco de virem a ocorrer alterações cromossômicas (as chamadas "síndromes") e problemas no coração. Pode-se observar outros sinais, como a presença do osso nasal e o fluxo no ducto venoso. Se o bebê tiver mais de 6cm (perto de 13 semanas), é possível ainda reconhecer se vai ser menino ou menina.

TERCEIRO ULTRASSOM (entre 18 e 26 semanas): É conhecido como ultrassom morfológico, por ser o período de melhor visibilidade do bebê. Todos os órgãos já estão formados e podem ser vistos com maior nitidez. As imagens em 3 dimensões (ultrassom 3D e 4D) são melhor realizadas ao final e após este período, entre 26 e 32 semanas.
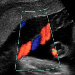
ÚLTIMO ULTRASSOM: Este não tem um momento exato. Vai ser realizado de acordo com a evolução da gravidez, os sintomas da mãe, a espera pelo nascimento... trazendo informações sobre o crescimento do bebê e sobre a circulação na placenta e no cordão umbilical, o chamado ultrassom com Doppler, que vai observar o fluxo de nutrientes e oxigênio nestas regiões.

Importante lembrar que se tudo estiver bem no início da gestação, como no caso de mulheres que tem a menstruação bem regulada e não apresentam cólicas ou sangramentos, o primeiro exame não é assim tão fundamental. O mesmo pode-se dizer sobre o último exame sugerido, especialmente se a gravidez está tranquila, pais e cuidadores confiantes e o parto acontecer sem muita espera e aquela ansiedade comum no final da gestação.







Comentários